우측퀵메뉴열기닫기
실시간 전화상담
카카오톡 상담
온라인 상담
찾아오시는 길
공지사항
상담/예약전화 063-255-7528
네이버 블로그 페이스북

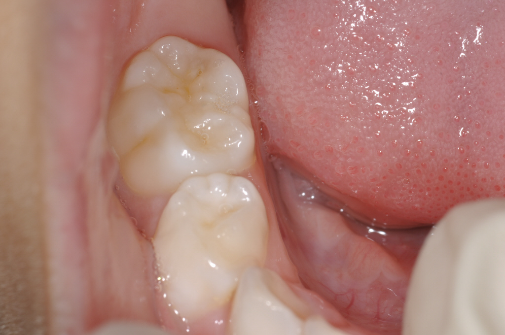
보가치과 치료사례

번호 전후사진 분야 제목 보기
29 충치치료
28 소아/청소년진료
27 소아/청소년진료
26 충치치료
25 충치치료
24 충치치료